Tomografía y OCT-A







El hemangioma de coroides es un tumor vascular benigno con, en general dos formas de aparición: Circunscrito, que aparece como una masa localizada posterior al ecuador, típicamente yuxtapapilar o macular Difuso generalmente asociado al Síndrome de Sturge-Weber.
Se presenta habitualmenter entre la tercera y quinta década de la vida como una masa solitaria unilateral, de coloración característica rojo-naranja. En la edad adulta el hemangioma puede provocar exudación y cambios del epitelio pigmentario. Permanecen asintomáticos durante gran parte de la evolución siendo causa de hallazgos fortuitos. La causa más precuente de consulta es la disminución de AV por afectación macular debido a posbles desprendimeintos neurosensoriales o edema maculares, momento en el que pasan a ser sintomáticos.
Una de las herramientas más útiles para su diagnóstico es la angiografía con verde de indocianina.

En la ICV podemos apreciar una hipercianescencia precoz con una iso/hipocianescencia tardía que refleja el alto flujo vascular y capacidad de lavado que presentan estos tumores vasculares a diferencia de otros funduscopicamente similares.


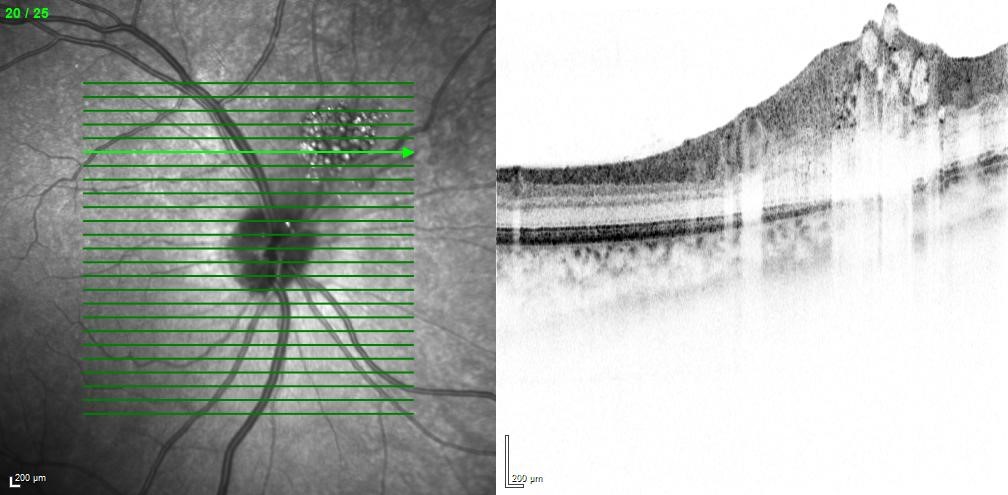
Los hamartomas combinados de retina y epitelio pigmentario retiniano (CHRRPE) son raros tumores benignos, caracterizados por la proliferación del epitelio pigmentario retiniano (EPR) y tejido glial, generando gran distorsión papilar y retiniana. Se aprecia una lesión solitaria unilateral sobrelevada, hiperpigmentada, acompañada de tortuosidad vascular y membrana epirretiniana (MER).

La angiografía puede ayudar bastante en el diagnóstico observándose en las fases precoces hipofluorescencia en relación al grado de hiperpigmentación del tumor, tortuosidad vascular y telangiectasias. En la fase media se observan mejor las anomalías vasculares y según avanzan los tiempos los vasos suelen fugar dando lugar a una hiperfluorescencia tardía.